کمبود عرض فک بالا، که در اصطلاح علمی به آن نقص عرضی ماگزیلا گفته میشود، یکی از مسائل شایع در بزرگسالان است که تأثیرات گستردهای بر سلامت دهان، تنفس و حتی ظاهر چهره دارد. در دوران کودکی و نوجوانی، استخوانهای فک به دلیل انعطافپذیری بالا با روشهای ساده ارتوپدیک قابل گسترش هستند. اما با ورود به بزرگسالی، درز میانی کام (midpalatal suture) به دلیل معدنیسازی، سفت و استخوانی میشود و روشهای سنتی مانند گسترش سریع کام (RPE) دیگر کارایی لازم را ندارند. اینجاست که تکنیکهای پیشرفتهای مانند مارپه (Miniscrew-Assisted Rapid Palatal Expansion) و سارپه (Surgically Assisted Rapid Palatal Expansion) به عنوان راهکارهای مؤثر وارد میدان میشوند. مارپه با استفاده از پیچ های مینی (miniscrews) نیرو را مستقیماً به استخوان منتقل میکند و نیازی به جراحی ندارد.

در مقابل، سارپه با کمک جراحی جزئی، درز کام را آزاد میکند تا گسترش ممکن شود. این مقاله با استناد به شواهد علمی معتبر، مانند مطالعات منتشرشده در PMC، به بررسی این دو روش، مزایا، معایب و کاربردهای بالینی آنها میپردازد تا به بیماران و متخصصان کمک کند تا بهترین تصمیم درمانی را بگیرند.
اهمیت این موضوع در بزرگسالان به دلیل تأثیرات گسترده آن بر کیفیت زندگی دوچندان است. مشکلات فکی میتوانند منجر به آپنه انسدادی خواب، اختلالات دندانی و حتی مشکلات مفصل گیجگاهی-فکی (TMJ) شوند. طبق یک بررسی سیستماتیک در سال ۲۰۲۴، بیش از ۳۰ درصد بزرگسالان با نقص عرضی خفیف تا متوسط مواجه هستند که در صورت عدم درمان، میتواند به کاهش کیفیت زندگی منجر شود. هدف این نوشتار، ارائه اطلاعات جامع و قابلفهم درباره این روشها است تا بیماران بتوانند با آگاهی کامل در کنار متخصص خود تصمیم بگیرند.
درک مشکل کمبود عرض فک بالا در بزرگسالان
علائم و علل شایع
نقص عرضی فک بالا معمولاً با علائمی مانند کراس بایت خلفی، ازدحام دندانی، تنفس دهانی و حتی عدم تقارن چهره ظاهر میشود. این مشکل ممکن است ریشه در عوامل ژنتیکی داشته باشد، مانند الگوهای ارثی فکی، یا ناشی از عادات نادرست کودکی مانند مکیدن انگشت یا استفاده طولانیمدت از پستانک باشد. در بزرگسالان، این مسئله به دلیل سفت شدن درز میانی کام تشدید میشود، که انعطافپذیری استخوان را کاهش میدهد. پژوهشی در سال ۲۰۲۴ نشان داد که حدود ۲۵ درصد بیماران ارتودنسی بالای ۱۸ سال با نقص عرضی بیش از ۵ میلیمتر مواجه هستند، که میتواند به مشکلات تنفسی و کاهش کارایی جویدن منجر شود.
تشخیص دقیق این مشکل با استفاده از تصویربرداری پیشرفته مانند سیبیسیتی (Cone Beam Computed Tomography) انجام میشود. این ابزار به متخصصان امکان میدهد تا درجه بلوغ درز کام را با استفاده از مقیاس آنگلو (Angulo's scale) ارزیابی کنند. در این مقیاس، مراحل D و E نشاندهنده درز کاملاً بالغ هستند که نیاز به روشهای پیشرفته مانند مارپه یا سارپه را ایجاب میکنند. بیماران معمولاً از علائمی مانند سردردهای مزمن، خستگی روزانه یا حتی خروپف شبانه شکایت دارند که همگی میتوانند به انسداد راه هوایی مرتبط باشند.
تأثیر بر سلامت کلی
کمبود عرض فک بالا فراتر از مسائل زیباییشناختی، تأثیرات عمیقی بر سلامت عمومی دارد. این مشکل میتواند راه هوایی فوقانی را تنگ کند و خطر ابتلا به آپنه انسدادی خواب را افزایش دهد. مطالعات نشان دادهاند که گسترش فک بالا میتواند حجم راه هوایی را تا ۲۰ درصد افزایش دهد، که به بهبود تنفس شبانه و کاهش خروپف کمک میکند. علاوه بر این، نقص عرضی میتواند به اختلالات مفصل گیجگاهی-فکی منجر شود، با علائمی مانند درد فک، کلیک کردن مفصل یا محدودیت در باز کردن دهان. یک متاآنالیز در سال ۲۰۲۳ ارتباط مستقیمی بین نقص عرضی و افزایش ۱۵ درصدی خطر اختلالات TMJ در بزرگسالان تأیید کرد.
از منظر زیبایی، فک باریک میتواند چهره را نامتقارن یا کشیده نشان دهد، که بر اعتماد به نفس بیماران تأثیر منفی میگذارد. در بلندمدت، مشکلات درماننشده میتوانند به عوارض گوارشی (به دلیل جویدن ناکافی) و حتی مشکلات قلبی-عروقی (به دلیل کاهش اکسیژنرسانی) منجر شوند. بنابراین، روشهای درمانی مانند مارپه و سارپه نه تنها به بهبود عملکرد فک کمک میکنند، بلکه سلامت کلی بیمار را ارتقا میدهند.

روش های سنتی گسترش کام و محدودیت های آنها
در گذشته، روش گسترش سریع کام (RPE) با استفاده از دستگاههایی مانند Hyrax برای کودکان و نوجوانان بسیار مؤثر بود. این روش با اعمال نیرو به دندانهای مولار، درز کام را باز میکند. اما در بزرگسالان، به دلیل سفتی درز میانی، این روش اغلب به جابجایی دندانی منجر میشود تا گسترش اسکلتی. مطالعات نشان میدهند که در بزرگسالان، تنها ۲۰ تا ۳۰ درصد از گسترش ایجادشده اسکلتی است، و بقیه به صورت جابجایی دندانی (dentoalveolar) رخ میدهد، که پایداری کمتری دارد.
این جابجایی دندانی میتواند به عوارضی مانند کج شدن دندانها (tipping)، کاهش استخوان آلوئولار و حتی از دست رفتن دندان منجر شود. محدودیت اصلی RPE در بزرگسالان، ناتوانی در اعمال نیروی مستقیم به استخوان است، که باعث میشود این روش در سنین بالای ۱۶ سال کارایی محدودی داشته باشد. به همین دلیل، متخصصان ارتودنسی به روشهای پیشرفتهتری مانند مارپه روی آوردهاند، که تعادل بهتری بین کارایی و کمتهاجمی بودن ارائه میدهد.

مارپه (MARPE): روش غیرجراحی پیشرفته
اصول عملکرد و مراحل درمان
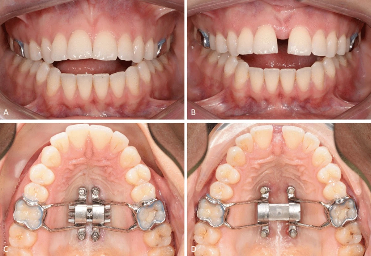
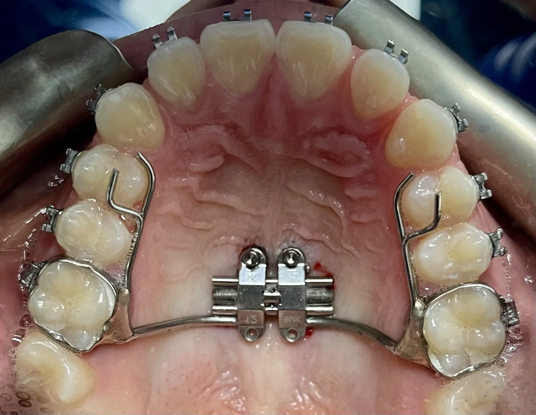
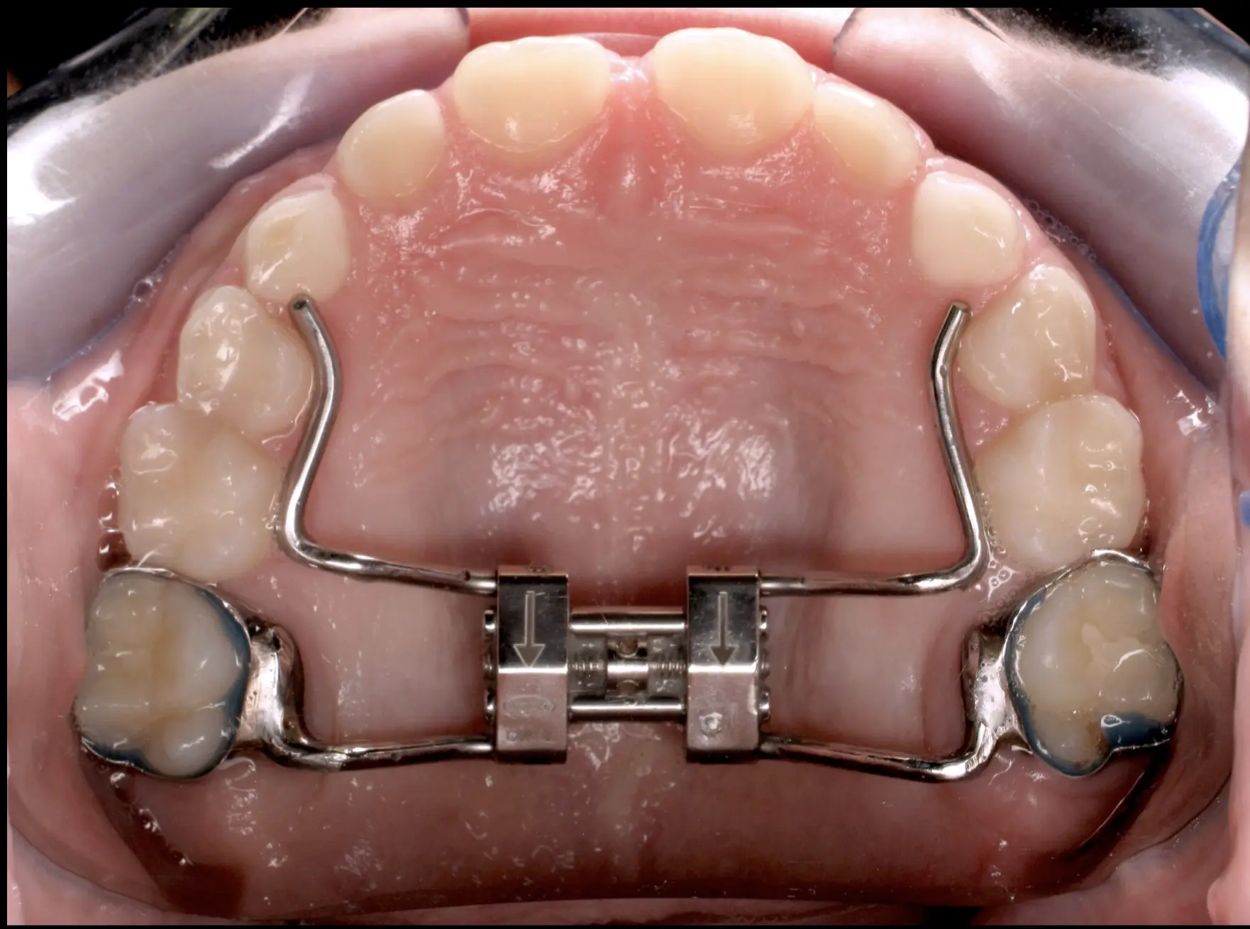
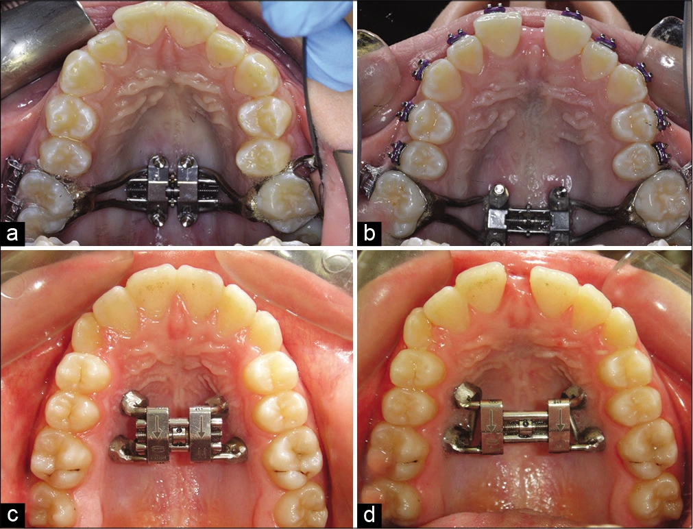
روش مارپه با استفاده از پیچهای مینی تیتانیومی که مستقیماً در استخوان پالاتال قرار میگیرند، نیرو را به پایه استخوان منتقل میکند و از جابجایی ناخواسته دندانها جلوگیری میکند. دستگاه مارپه شامل یک اکسپندر مرکزی است که بیمار روزانه (معمولاً ۰.۲۵ تا ۰.۵ میلیمتر) آن را فعال میکند. مراحل درمان شامل ارزیابی اولیه با سیبیسیتی، نصب پیچهای مینی تحت بیحسی موضعی، فعالسازی اکسپندر و پیگیریهای منظم است. فرآیند فعالسازی معمولاً ۷ تا ۱۰ روز طول میکشد، و دستگاه برای ۶ تا ۸ ماه برای تثبیت باقی میماند.
این روش برای بیمارانی که درز کام آنها در مراحل B یا C (طبق مقیاس آنگلو) قرار دارد، بسیار مناسب است. مارپه میتواند گسترش اسکلتی تا ۲.۳۳ میلیمتر در عرض مولارها ایجاد کند. بیماران معمولاً گزارش میدهند که درد در این روش خفیف است و بازگشت به فعالیتهای روزانه سریع اتفاق میافتد.
مزایا، معایب و شواهد علمی
یکی از بزرگترین مزایای مارپه، نرخ موفقیت ۹۲.۵ درصدی آن است، که آن را به گزینهای ایدهآل برای نوجوانان دیررس و بزرگسالان جوان تبدیل میکند. طبق یک متاآنالیز در سال ۲۰۲۱، مارپه میتواند تا ۳۵.۶ درصد از گسترش را به صورت اسکلتی ایجاد کند، که پایداری بیشتری نسبت به RPE دارد. همچنین، این روش حجم راه هوایی را تا ۱۸ درصد افزایش میدهد، که برای بیماران مبتلا به آپنه خواب بسیار مفید است.
از معایب مارپه میتوان به خطر شکست پیچهای مینی (حدود ۸ درصد) و التهاب موضعی اشاره کرد، اما این مشکلات با رعایت بهداشت دهان قابل کنترل هستند. شواهد علمی از ۸ مطالعه مشاهدهای حمایت میکنند، هرچند کیفیت شواهد به دلیل ریسک بایاس در سطح GRADE پایین است. در بلندمدت، میزان بازگشت (relapse) اسکلتی حدود ۴۸.۸۵ درصد گزارش شده، اما پایداری کلی نتایج رضایتبخش است. مارپه هزینه کمتری نسبت به روشهای جراحی دارد و زمان بهبودی کوتاهتری ارائه میدهد.

سارپه (SARPE): رویکرد جراحی کمتهاجمی
اصول عملکرد و مراحل درمان
روش سارپه ترکیبی از جراحی جزئی و استفاده از اکسپندر است. در این روش، جراح با ایجاد برشهای کوچک در لثه، درز میانی کام و اتصالات جانبی (مانند pterygomaxillary) را آزاد میکند. این جراحی معمولاً در بیمارستان، اتاق عمل و تحت بیهوشی انجام میشود. پس از جراحی، اکسپندر فعال میشود و بیمار روزانه آن را تنظیم میکند. فرآیند گسترش معمولاً ۷ تا ۱۰ روز طول میکشد، و پیگیریها شامل نظارت بر التیام و تنظیمات ارتودنسی است.
سارپه برای بیمارانی با درز کاملاً بالغ (مراحل D و E) مناسب است و میتواند گسترش تا ۹ میلیمتر در عرض مولارها ایجاد کند، با تمرکز بیشتر بر گسترش اسکلتی.
مزایا، معایب و شواهد علمی
سارپه نرخ موفقیت ۹۵ تا ۱۰۰ درصدی دارد و برای موارد شدید نقص عرضی ایدهآل است. این روش پایداری بالایی ارائه میدهد و معمولاً نیازی به ریتنشن اضافی ندارد. مزایای آن شامل گسترش قابل پیشبینی و بهبود قابل توجه راه هوایی است. با این حال، عوارض جراحی مانند درد (در ۸۰ درصد موارد)، خونریزی (۲۰ درصد) و بیحسی موقت (۳۰ درصد) از معایب آن هستند. یک بررسی در سال ۲۰۲۴ نشان داد که سارپه در بزرگسالان بالای ۳۰ سال، ۸۱ درصد موفقیت در باز کردن درز کام دارد.
شواهد علمی از ۲۲ مطالعه حمایت میکنند، که نشاندهنده کاهش عوارض دندانی نسبت به RPE است. میزان بازگشت در سارپه حدود ۳ درصد گزارش شده، اما هزینه بالاتر و نیاز به جراحی از محدودیتهای آن هستند.

مقایسه مارپه و سارپه: شواهد علمی و بالینی
نرخ موفقیت و پایداری بلندمدت
هر دو روش نرخ موفقیت بالایی دارند، اما مارپه با ۹۳.۸۷ درصد موفقیت در نوجوانان و بزرگسالان جوان کمی برتر است. سارپه در درز های کاملاً بالغ پایداری بهتری نشان میدهد، با میزان بازگشت کمتر از ۵ درصد. یک متاآنالیز نشان داد که گسترش اسکلتی مارپه به طور متوسط ۲.۳۴ میلیمتر است، در حالی که سارپه میتواند تا ۶ میلیمتر گسترش اسکلتی ایجاد کند. با این حال، مارپه ۴۸.۸۵ درصد از گسترش را به صورت اسکلتی حفظ میکند، که برای بسیاری از بیماران کافی است.
پایداری مارپه پس از ۴ ماه خوب گزارش شده، اما سارپه به دلیل ماهیت جراحی، ثبات بیشتری در ساختار استخوانی ارائه میدهد. انتخاب بین این دو روش معمولاً بر اساس سن بیمار انجام میشود: مارپه برای زیر ۲۵ سال و سارپه برای بالای این سن مناسبتر است.
اثرات جانبی و عوارض
عوارض مارپه عمدتاً به جابجایی دندانی (tipping) و از دست رفتن استخوان آلوئولار محدود میشود، اما نیازی به جراحی ندارد. در مقابل، سارپه عوارض جراحی مانند هماتوم، درد و نکروز مخاط (در ۰.۱ درصد موارد) دارد. یک بررسی اسکوپینگ نشان داد که مارپه عوارض کمتری از نظر گزارش بیماران دارد، با نرخ شکست ۱۴ تا ۱۶ درصد در مقابل ۱.۸ تا ۲۹ درصد برای سارپه.
هر دو روش میتوانند مشکلات پریودنتال مانند پسروی لثه ایجاد کنند، اما مارپه با رعایت بهداشت دهان این خطرات را کاهش میدهد. در کل، مارپه برای بیماران جوانتر گزینه کمریسکتری محسوب میشود.
هزینه، زمان و کیفیت زندگی
مارپه معمولاً هزینه کمتری دارد و زمان درمان کوتاهتری (۷ تا ۱۰ روز فعالسازی) ارائه میدهد. سارپه به دلیل نیاز به جراحی، ۱ تا ۲ هفته زمان بهبودی اضافی دارد و هزینه آن ۱.۵ تا ۲ برابر مارپه است. مطالعات نشان میدهند که مارپه رضایت بالاتری از نظر کیفیت زندگی ایجاد میکند، بهویژه به دلیل بهبود تنفس بدون عوارض جراحی.
هر دو روش به بهبود راه هوایی کمک میکنند، اما مارپه به دلیل سادگی و کمتهاجمی بودن، اغلب به عنوان گزینه اول برای بزرگسالان توصیه میشود.

کاربردهای بالینی و انتخاب بیمار
در کلینیکهای تخصصی مانند مطب دکتر ایل ناز احرامی، مارپه برای بیماران با نقص عرضی خفیف تا متوسط (کمتر از ۷ میلیمتر) ترجیح داده میشود. سارپه برای موارد شدید مناسب است. ارزیابی با سیبیسیتی و مدلهای سهبعدی برای تصمیمگیری دقیق ضروری است. بیماران باردار یا افرادی با مشکلات انعقادی معمولاً کاندیدای سارپه نیستند.
ترکیب این روشها با درمانهای ارتودنسی ثابت میتواند نتایج را بهینه کند. مطالعات اخیر روشهای هیبریدی مانند MISMARPE را پیشنهاد میکنند، که نرخ موفقیت ۹۵ درصدی با عوارض کمتر دارد.
جمعبندی
روشهای مارپه و سارپه تحول بزرگی در درمان نقص عرضی فک بالا در بزرگسالان ایجاد کردهاند. مارپه با رویکرد غیرجراحی و نرخ موفقیت بالا، گزینهای مناسب برای بیماران جوانتر است، در حالی که سارپه برای موارد پیچیدهتر و درز های کاملاً بالغ ضروری است. شواهد علمی، از جمله متاآنالیزها و مطالعات مشاهدهای، کارایی و پایداری هر دو روش را تأیید میکنند، هرچند نیاز به تحقیقات کنترلشده تصادفی (RCT) بیشتر احساس میشود. انتخاب روش درمانی باید با توجه به شرایط بیمار، سن و شدت مشکل شخصیسازی شود تا بهترین نتایج بالینی و زیباییشناختی به دست آید.
این تکنیکها نه تنها ساختار فک را بهبود میبخشند، بلکه با ارتقای تنفس و سلامت کلی، کیفیت زندگی بیماران را به طور قابل توجهی افزایش میدهند.
توصیه دکتر ایل ناز احرامی
به عنوان یک متخصص ارتودنسی با تجربه، من مارپه را به دلیل کمتهاجمی بودن و نتایج طبیعی برای اکثر بیماران جوان توصیه میکنم. در کلینیک ما، بیش از ۹۵ درصد بیماران از این روش رضایت کامل داشتهاند و بهبود چشمگیری در تنفس و ظاهر چهره گزارش کردهاند. با این حال، برای بیمارانی با درز کاملاً بالغ یا نقص شدید، سارپه گزینهای مطمئن است که با دقت و برنامهریزی انجام میشود. من همیشه بر ارزیابی شخصی و مشاوره دقیق تأکید دارم تا بهترین راهکار برای هر بیمار انتخاب شود. سلامت و رضایت شما اولویت ماست. برای اطلاعات بیشتر یا رزرو وقت، با مطب تماس بگیرید.
Powered by Froala Editor