درمانهای ارتودنسی فراتر از ردیفکردن دندانها، شامل اصلاح ناهنجاریهای اسکلتی فکین نیز میشوند. یکی از شایعترین این ناهنجاریها، تنگی فک بالا است که میتواند به صورت کراسبایت خلفی، کمبود فضا برای رویش دندانهای دائمی یا اختلالات تنفسی تظاهر یابد. برای اصلاح این مشکل، از روش اکسپنشن فک بالا یا گسترش عرضی کام استفاده میشود. در میان ابزارهای مختلف، دستگاه هایرکس (Hyrax) بهعنوان یک وسیله مؤثر و پرکاربرد، جایگاه ویژهای در ارتودنسی دارد.
مکانیسم عملکرد هایرکس مبتنی بر انتقال نیرو از طریق یک پیچ مرکزی به دندانها و سپس استخوان کام است. پاسخ درمانی به این نیرو وابسته به سن بیمار است: قبل از بلوغ، بهدلیل انعطافپذیری درز میانی کام، تغییرات اسکلتی واقعی رخ میدهد؛ درحالیکه پس از بلوغ، به علت افزایش مقاومت استخوانی، تغییرات عمدتاً دندانی هستند. این تفاوت، نقش زمانبندی درمان را در موفقیت نتایج برجسته میسازد.
از دیدگاه علمی، بلوغ اسکلتی نقطه عطفی در برنامهریزی درمانی محسوب میشود. پیش از بلوغ، پاسخ به درمان بیشتر اسکلتی است، اما پس از آن، به دلیل جوشخوردن نسبی یا کامل درزها، حرکت دندانها غالب میشود. این تمایز، لزوم تشخیص صحیح مرحله رشدی بیمار را آشکار میکند. علاوه بر این، اکسپنشن فک بالا میتواند فضای لازم برای رویش دندانها را فراهم کند، از کشیدن دندان پیشگیری نماید و حتی با افزایش حجم راه هوایی بینی، به بهبود تنفس کمک کند.

مکانیزم و نحوه عملکرد دستگاه هایرکس
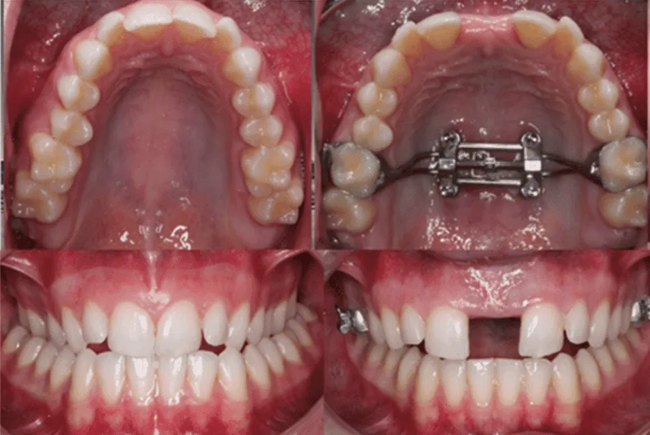
دستگاه هایرکس متشکل از یک پیچ مرکزی فلزی است که با اتصال به بندهای دندانی مولرها، نیروی عرضی ایجاد میکند. بیمار یا والدین با چرخاندن کلید مخصوص، پیچ را فعال میکنند که هر چرخش حدود ۰/۲۵ میلیمتر گسترش ایجاد میکند. این نیروی تدریجی و کنترلشده ابتدا به دندانهای تکیهگاه و سپس به استخوان کام منتقل میشود.
در بیماران جوان، این نیرو منجر به باز شدن درز میانی کام و ایجاد اکسپنشن اسکلتی واقعی میشود. در بیماران بزرگسال، همین نیرو عمدتاً سبب حرکت دندانی از جمله تیلت شدن مولرها به سمت باکال میگردد. فعالسازی دستگاه معمولاً روزی یک یا دو بار انجام میشود تا هنگامی که یا به عرض مطلوب برسیم یا دیاستم (فاصله) بین دندانهای پیشین ظاهر شود. این فاصله نشانهای از بازشدن درز میانی است، اگرچه ممکن است موقت باشد.
پاسخ بیولوژیک به درمان در کودکان شامل بازشدن تدریجی استخوان و تشکیل استخوان جدید در ناحیه دیاستم ایجادشده است؛ فرآیندی مشابه دیستراکشن استخوانی. در بزرگسالان، بهدلیل افزایش تراکم استخوان و بستهشدن نسبی درزها، نیرو عمدتاً به حرکت دندان و کشش الیاف پریودنتال منجر میشود. همین تفاوت، پایداری نتایج را تحت تأثیر قرار میدهد.
هایارکس علاوه بر افزایش عرض قوس دندانی و رفع کراسبایت، فضای لازم برای رویش دندانها را فراهم کرده و در مواردی باعث بهبود تهویه بینی میشود. با این حال، طراحی نادرست یا تنظیم نامناسب دستگاه میتواند موجب عوارضی چون تحلیل ریشه داشته باشد، بنابراین، انتخاب صحیح بیمار و برنامهریزی دقیق درمانی ضروری است.
تفاوت درمان اکسپنشن فک بالا قبل و بعد از بلوغ
تعیین زمان مناسب برای آغاز درمان با هایرکس، بهدلیل تفاوتهای بنیادین در پاسخ بیولوژیک قبل و پس از بلوغ، از اهمیت بالایی برخوردار است.
تغییرات اسکلتی قبل از بلوغ
در این دوره، انعطافپذیری درز میانی کام امکان بازشدن واقعی استخوانهای ماگزیلا و ایجاد تغییرات اسکلتی پایدار را فراهم میکند. تشکیل استخوان جدید در فضای ایجادشده، به ماندگاری نتایج کمک میکند. ظهور دیاستم بین دندانهای پیشین، نشانهای کلینیکی از این تغییر محسوب میشود.
تغییرات بعد از بلوغ
پس از بلوغ و با جوشخوردن درز میانی، مقاومت استخوانی افزایش یافته و نیروی دستگاه عمدتاً منجر به تیلت شدن دندانهای مولر و حرکات دندانی میشود. تغییرات اسکلتی ناچیز بوده و احتمال بروز عوارضی مانند تحلیل لثه یا ناپایداری نتایج بیشتر است.
پایداری نتایج درمان
پایداری درمان در کودکان بهدلیل تغییرات اسکلتی و تشکیل استخوان جدید، بالاتر است. در بزرگسالان، بهعلت ماهیت دندانی تغییرات، ریسک بازگشت بیشتر بوده و ممکن است به روشهای کمکی مانند اکسپنشن با کمک مینیایمپلنت (MARPE) یا اکسپنشن جراحی (SARPE) نیاز باشد.
عوارض احتمالی
عوارض در کودکان معمولاً خفیف و موقت (مانند احساس فشار) هستند. در بزرگسالان، احتمال عوارض جدیتر از جمله درد شدید، تحلیل لثه یا آسیب به مفصل فکی بیشتر است.
نتیجه گیری در مورد زمان درمان
در مجموع، درمان با هایرکس قبل از بلوغ، با ایجاد تغییرات اسکلتی پایدار، بیشترین اثربخشی را دارد. پس از بلوغ، این دستگاه عمدتاً تغییرات دندانی ایجاد میکند و برای دستیابی به اکسپنشن اسکلتی واقعی، استفاده از روشهای پیشرفتهتری مانند MARPE یا SARPE ضروری است. بنابراین، ارزیابی دقیق مرحله رشدی بیمار پیش از درمان، امری حیاتی است.

جمع بندی نهایی
دستگاه هایرکس یک روش درمانی مؤثر برای رفع تنگی فک بالا محسوب میشود که موفقیت آن بهطور قابلتوجهی تحت تأثیر سن و مرحله رشدی بیمار قرار دارد. در بیماران نابالغ، این دستگاه قادر به ایجاد تغییرات اسکلتی پایدار، اصلاح روابط دندانی، ایجاد فضای کافی و حتی بهبود تنفس است. در بیماران بالغ، پاسخ درمانی عمدتاً دندانی بوده و با ریسک بالاتر عوارض و بازگشت همراه است. برای این گروه، روشهای ترکیبی مانند MARPE یا SARPE جهت دستیابی به نتایج اسکلتی پایدارتر توصیه میشوند. ارزیابی دقیق رشدی و انتخاب آگاهانه روش درمانی، کلید موفقیت در استفاده از این دستگاه است.
توصیه دکتر ایل ناز احرامی
دکتر ایل ناز احرامی با تأکید بر اهمیت زمانبندی درمان، استفاده از هایرکس را در کودکان و نوجوانان برای دستیابی به تغییرات اسکلتی مطلوب و پیشگیری از مشکلات آتی توصیه میکنند. ایشان خاطرنشان میسازند که در بزرگسالان، استفاده صرف از هایرکس ممکن است به نتایج ناقص یا عوارض بینجامد و بهکارگیری روشهای پیشرفتهتری مانند MARPE یا SARPE را برای تضمین ایمنی و پایداری درمان ضروری میدانند. از دیدگاه ایشان، ارزیابی دقیق و فردی هر بیمار، همراه با بهرهگیری از تصویربرداری سهبعدی، اساس برنامهریزی یک درمان موفق است.
Powered by Froala Editor